La inflamación supurativa es el término utilizado para describir un patrón de inflamación aguda en la que la respuesta tisular consiste en la acumulación de líquido con una alta concentración de proteína plasmática (gravedad específica > 1.02 g/ml) y un alto número de leucocitos, predominantemente neutrófilos. Este material es un exudado comúnmente conocido como pus, y se encuentra constituido por neutrófilos degenerados o muertos (Necrosis licuefactiva). El pus puede ser un líquido cremoso (semi líquido), pero si está deshidratado, puede ser más caseoso y de consistencia firme, y ocasionalmente dispuesto en forma laminar en enfermedades como la linfoadenitis caseosa ovina. 

La colecta de pus circunscrita por una cápsula fibrosa se llama absceso, los mismos son de curso crónico. Cuando el acúmulo sólo se evidencia microscópicamente se denomina microabsceso.

La acumulación densa de neutrófilos (pus) también se puede distribuir difusamente en capas de tejido tales como planos fasciales y tejido conectivo subcutáneo, y se conoce como celulitis o inflamación flemonosa. En estos casos no hay cápsula fibrosa. Suelen producirse por infección de bacterias Gram-positivas (estafilococo). 

La inflamación supurativa, microabscesos, abscesos y flemones son causados ​​más comúnmente por bacterias,  incluyendo Staphylococcus spp., Streptococcus spp. y Escherichia coli, puede ocurrir en muchos órganos. Incluido el sistema nervioso central, meningitis supurativa bacteriana. Otros ejemplos son: los abscesos en el cerebro de los caballos causados ​​por Streptococcus equi y microabscesos en el cerebro de las vacas causados ​​por Listeria monocytogenes. La inflamación supurativa también ocurre comúnmente en: la pelvis y túbulos del riñón (pielonefritis), los bronquios del pulmón (bronconeumonía), las cavidades nasal y sinusal (rinitis y sinusitis), el epitelio glandular de la próstata (prostatitis), la luz de la vesícula biliar (colecistitis), vejiga (cistitis), y los acinos y conductos de la glándula mamaria (mastitis). 

La inflamación supurativa no resuelta puede progresar a inflamación crónica. En la misma se agregan los componentes de la reparación.

Macroscópicamente, las superficies y/o los tejidos conectivos de los órganos afectados son rojos debido a la hiperemia activa y están cubiertos o contienen, respectivamente, material líquido-cremoso o deshidratado de color blanco, grisáceo, amarillo, rosado y/o negruzco (dependiendo de que componente predomine más: sangre por ejemplo). En algunos órganos sólo se evidencia la hiperemia y el aumento de tamaño (megalia), el pus no es evidente. En órganos parenquimatosos como el hígado o el riñón, el exudado supurativo puede evidenciarse como puntos blancos. En algunos casos, el pus se mezclará con fibrina, formando un exudado fibrino-supurativo. 

Microscópicamente, los tejidos afectados tienen un gran número de neutrófilos; muchos degenerados y a menudo se mezclan con restos celulares necróticos, bacterias, proteínas plasmáticas y fibrina (Necrosis licuefactiva). En los abscesos, el pus (necrosis licuefactiva) está rodeado de una cápsula de tejido conjuntivo.

 

Caso n°1: Bovino. Hembra

Lesiones macroscópicas:

Referencias fotográficas: 
Foto A y B: en la pared abdominal podemos observar masas, multilobuladas en el tejido subcutáneo, bilaterales simétricas. 
Foto C y D: a la palpación las masas fluctuaban, al punzar salió un líquido espeso y amarillo (pus-necrosis licuefactiva).
Diagnóstico morfológico: Abscesos subcutáneos multifocales
Absceso: Colecta circunscripta de pus. Significa inflamación crónica supurativa.

 

Caso n°2: Canino. Boxer. Parálisis de miembros posteriores

Lesiones macroscópicas:

Referencias fotográficas:
Fotos A y B: Vejiga con engrosamiento de la pared, mucosa roja con material blanquecino en la superficie. 
Diagnóstico morfológico: Cistitis supurativa difusa crónica.
Etiología: Bacterias piógenas. 
Factor predisponente: La parálisis de los miembros posteriores no permite ponerse de pie para realizar la micción, la retención de orina 
favorece el ingreso de bacterias por vía ascendente y la inflamación de la vejiga.

 

Caso n°3: Bovino. Acidosis

Lesiones macroscópicas:

Referencias fotográficas: 
Fotos A y B: El corazón presenta una masa nodular fluctuante en el miocardio, al corte resuma material líquido espeso, de color amarillento. El material 
está rodeado de un tejido firme y blanquecino que forma una cápsula.
Fotos C y D: Al abrir las cámaras cardíacas presenta otra masa con las mismas características, el material del interior es más seco con aspecto laminar.
Se tratan de abscesos, colectas circunscriptas de pus.
Fotos E y F: En el encéfalo observamos lesiones similares, multifocales, en el cerebelo (superficie) y cerebro (al corte).
Diagnóstico Morfológico: Miocarditis y encefalitis abscedativa multifocales.
Causa: Bacterias piógenas. 
Son la significación patológica de rumenitis por acidosis.

 

Caso n°4: Canino. Traumatismo (Mordedura de perro)

Lesiones macroscópicas:

Referencias fotográficas:
Foto A: se observa un testículo fuera de la bolsa escrotal, aumentado de tamaño, de color rojo. A la palpación se apreciaba caliente y con dolor.
Fotos B y C: testículos post orquiectomía. Se evidencia gran diferencia de tamaño entre ambos. Presenta el doble de tamaño, de color rojo y brillante.

 

Caso n°5: Canino. Mestizo

Lesiones macroscópicas:

Referencias fotográficas: 
Fotos A y B: Presenta un lesión cutánea sobre la escápula, la piel y el pelo están cubiertos por un material amarillento, seco (en algún momento fue líquido 
porque se derramó o corrió). Al tacto presentaba dolor y calor.
Diagnóstico Morfológico: Dermatitis supurativa aguda focal extensa.

 

Caso n°6: Canino. Hembras enteras

Lesiones macroscópicas:

Referencias fotográficas:
Fotos A, B y C: En los pacientes se observaba distensión abdominal, una presentaba descarga vulvar de un material fluido de color rosado con olor fétido.
Fotos D y E: Útero y ovarios. Pieza quirúrgica post ovariohisterectomía. Tratamiento quirúrgico de piómetra. Se observa gran distensión del útero con 
aumento de tamaño, fluctúa al tacto. Al abrirlo sale material amarillo, fluido-espeso (pus).

 

Caso n°7: Bovino. Ternero. 1 mes aproximadamente

Lesiones macroscópicas

Referencias fotográficas:
Fotos A, C, y D: Observamos varias articulaciones con aumento de tamaño, distendidas, al tacto y palpación hay fluctuación, calor y dolor. Al punzar sale 
líquido espeso y amarillento. 
Foto B: el ombligo esta engrosado, depilado y con una costra, al removerla se observa salida de líquido amarillento por un orificio de bordes rojos. 
Diagnóstico Morfológico: Onfalitis supurativa y artritis supurativa multifocal.

 

Caso n°8: Bovino. Guachera

Lesiones macroscópicas

Referencias fotográficas:
Fotos A, B, C y D: Se observan ambos riñones con manchas blanquecinas de 1 mm que coalescen, sobresalen del parénquima. Hay aumento del tamaño 
del órgano. El de la izquierda además presenta congestión hipostática. 
Diagnóstico Morfológico: Nefritis intersticial multifocal a coalescente.
Vía de llegada de las nefritis intersticial: Hematógena. En terneros generalmente ingresan las bacterias al ombligo y producen onfalitis, además 
pueden provenir de enteritis.

Lesiones microscópicas:

Referencias fotográficas:
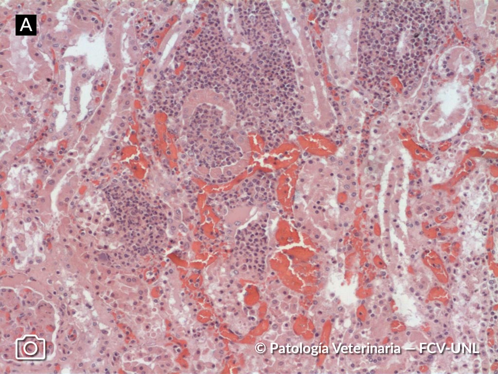
Foto A: Nefritis intersticial supurativa bovino-10x. Se observa un corte de corteza renal con un foco grande de exudado supurativo en el intersticio, 
entre los túbulos renales. También es marcada la hiperemia de los capilares intersticiales. Los túbulos muestran epitelio con cambios degenerativos y
con necrosis de células, en las que es muy evidente la picnosis. Se observa un glomérulo hiperémico en el cuadrante inferior izquierdo de la foto.
Foto B: Nefritis intersticial supurativa bovino-10x. Se observa el foco de infiltrado notoriamente constituido por neutrófilos y piocitos. En la zona
superior se observa un gran trombo, con células inflamatorias. Los túbulos muestran degeneración y necrosis. Hiperemia capilar.
Foto C: Nefritis intersticial supurativa bovino-10x. Se observa un gran trombo en una arteriola. El resto del parénquima muestra hiperemia activa 
intersticial e infiltrados leucocitarios dispersos. Degeneración tubular y presencia de proteína en túbulos.

 

Neumonía por aspiración /Bronconeumonía supurativa multifocal.

Se observa pulmón derecho de color rojo oscuro, con manchas marrones y parénquima rojo. Se encontró alimento (leche o sustituto lácteo) en tráquea
y bronquios (sugerentes de neumonía por aspiración).
Especie: Bovino